岩手県奥州市の歯科医院 矯正治療・審美歯科・予防歯科・口腔外科・インプラント・小児歯科・口腔漢方
電話での受付(平日8:00~17:30)
0120-84-9229
0197-24-9229
ナビ音声予約ダイヤル(診療時間外)
0120-

| オールセラミッククラウン | |||
![]() |
![]() | ![]() ![]() |
|
| 審美的要求が高い前歯や、自然歯と同じような色調、質感を再現するために金属を全く使用しません。 当院では、金属の代わりにジルコニアを使いその上にポーセレンで焼き付ける方法で、歯の色や形、歯並びなどの審美的要素をバランス良く修復し改善するものです。 ☆セラミックの持つ特殊な材質を十分に生かし、本来の健康な歯と同じかそれ以上の色や形を再現しますので、きわめて審美的効果が高い方法と言えます。(自費診療) |
|||
| 歯の位置がずれている | 歯が変色している | 重度の虫歯がある | |
| 歯が奇形でお困りの方 | 金属アレルギー体質の方 | ||
| セレック(CEREC)=CEramic REConstruction(セラミック修復) | |
| (症例 1 ) | |
![]() |
|
| (症例 2 ) | |
|
|
| セレックは規格生産された高品質なセラミックブロックを使用して、コンピューターによって歯の修復物を製作するものです。(自費診療) | |
| ☆天然歯とほぼ同じ強度のため、噛み心地が自然である。 | |
| ☆生体親和性があり、身体にやさしい。 | |
| ☆審美性が良い。 |
| HJK(硬質レジンジャケットクラウン) | |
![]() |
![]() |
| 歯冠の全表面を一様に削除し、プラスチック系の材料を用いて歯冠の全部を被う方法です。 金属を使用しないため形態、色調を天然歯に合わせやすい利点があります。(保険適応) |
|
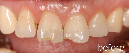
| CR充填 | ||
| (症例 1 ) | ||
![]() |
![]() |
|
| (症例 2 ) | ||
![]() |
|
|
| (症例 3 ) | ||
![]() |
|
|
| (症例 4 ) | ||
![]() |
||
| (症例 5 ) | ||
![]() |
![]() |
|
| 虫歯の部分を削った後に、コンポジットレジンという歯科用プラスチックを詰める方法です。天然歯をほとんど削らずに形態が回復できるので、歯にやさしい治療法です。 また、コンポジットレジンは虫歯治療だけではなく欠けた歯の形態を回復したり、歯に盛り足してすきっ歯を治したり、金属の部分をレジンに置き換えて金属アレルギーの予防や審美的な改善をしたりなど、即日にできる治療で様々な用途で使用されています。(保険適応) |
||
